Le MIH (Hypominéralisation des molaires et incisives)
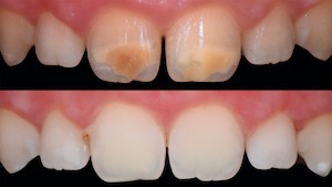
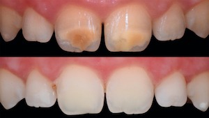
Un défaut de structure de l’émail touchant au minimum les premières molaires définitives, souvent accompagné d’opacités sur les incisives. Il se manifeste par des tâches blanchâtres, jaunes ou brunes bien délimitées et reflète une minéralisation incomplète pendant l’éruption de ces dents entre 6 et 10 ans . Cet émail poreux est plus fragile, se casse facilement et expose à la carie
GUIDES
6/20/20252 min lire


Qu’est-ce que le MIH ?
Le MIH est un défaut structure de l’émail touchant au minimum les premières molaires définitives, souvent accompagné d’opacités sur les incisives. Il se manifeste par des tâches blanchâtres, jaunes ou brunes bien délimitées et reflète une minéralisation incomplète pendant l’éruption de ces dents entre 6 et 10 ans . Cet émail poreux est plus fragile, se casse facilement et expose à la carie. il Impacte environ 13 % à 14 % des enfants dans le monde , en France , ce chiffre a un enjeu majeur en dentisterie pédiatrique car les dents concernées nécessitent plus de soins, très souvent précoces et répétés.
Les causes multifactorielles
L’étiologie du MIH reste encore mal définie, mais plusieurs facteurs sont soupçonnés :
Périnatal et prématurité (hypoxie, naissance prématurée, complications)
Infections infantiles (otites, fièvres aiguës) et médicaments (notamment l’amoxicilline)
Facteurs environnementaux (dioxines, bisphénols, carence en vitamine D)
Origine génétique probable, encore mal identifiée
Le dérèglement de la minéralisation survient majoritairement entre la fin de la grossesse et la première année de vie.
Comment le repérer ?
Opacités bien délimitées (blanches à brunes)
Casse post-éruptive : éclats ou usure rapide de l’émail
Hypersensibilité : douleur au chaud, froid, sucré, car présence de dentine exposée
Risque accru de caries atypiques sur ces dents faibles.
Prise en charge :
Diagnostic précoce (critères EAPD/AAPD) → évaluer la gravité
Soins préventifs : vernis fluorés, hygiène adaptée
Traitements conservateurs : scellement, résine infiltrante, couronne selon l’atteinte eapd.eu
En cas de cas sévère : extraction, si la préservation est impossible, en anticipant la croissance des dents définitives
Traitements
A. Prévention et renforcement
Vernis fluorés professionnels
Produits reminéralisants : CPP-ACP, calcium-glycérophosphate
Scellements de sillons : résine ou verre ionomère
B. Traitements conservateurs
Résine infiltrante et composite pour réparer l’émail sans extraire
Couronnes préformées (verre ionomère ou métal) sur molaires sévères
C. Traitements esthétiques pour incisives
Microabrasion, blanchiment doux
Veneers composites si nécessaire, parfois avec les techniques « etch-bleach-seal »
D. Cas extrêmes
Extraction des dents irrécupérables, avec suivi orthodontique pour guider la croissance des dents définitives
Conclusion
Le MIH est fréquent et impacte profondément la santé buccodentaire de nombreux enfants. Grâce à un diagnostic précoce, une prévention active et des soins adaptés, il est possible de préserver à la fois le confort, la santé et l’estime de soi des ces derniers .
En tant que professionnelle , je sais combien un enfant peut souffrir à cause d’une dent sensible.
Vérifiez les molaires dès l’âge de 5–6 ans, consultez un pédodontiste au moindre doute et mettez un suivi régulier en place pour prévenir cela .
Mode et conseils bébé
CONTACT
LéGAL
© 2025 – NewbornNestCo 💛
Créé avec amour pour les parents & bébés
RETROUVEZ-NOUS :
GUIDES PRATIQUES
